Curling clinic with a radiotherapy twist
A team curling clinic was turned into a playful analogy for ocular radiotherapy strategies and precision treatment.

advancing eye care through applied imaging science

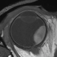
New MRI technologies to improve the care for eye cancer patients.

Through MRI-based radiotherapy planning we aim to preserve more of our patients’ vision.

Patient-specific optical simulations to identify the causes of various ocular conditions.
A team curling clinic was turned into a playful analogy for ocular radiotherapy strategies and precision treatment.
We shared our research at MRI and ophthalmology meetings, contributed to open‑source optics, and engaged patients.